Aloe sprej pre zdravé ďasná: Prírodná pomoc pri krvácaní a zápale
Starostlivosť o ďasná je rovnako dôležitá ako starostlivosť o zuby. Množstvo ľudí ju však aj napriek tomu podceňuje a prvé príznaky zápalu ďasien berú na ľahkú váhu. Zápal ďasien, odborne nazývaný gingivitída, je zápalové ochorenie, ktoré je spôsobené baktériami zubného povlaku. Ak sa zachytí včas, dá sa vyliečiť dôkladnou ústnou hygienou.
Príznaky zápalu ďasien môžu byť spočiatku nenápadné, no návšteva zubného lekára je potrebná už pri prvých príznakoch. Ten skontroluje stav ďasien a odporučí vám správnu liečbu. Odporúča sa absolvovať dentálnu hygienu aspoň dvakrát ročne (závisí to však aj od stavu ďasien a zubov).
Príčiny a následky zápalu ďasien
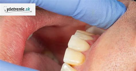
Zápal ďasien vyvolávajú baktérie, ktoré sa nachádzajú v zubnom povlaku - ten pokrýva zuby a ďasná. Pokiaľ dôjde k jeho nahromadeniu v dôsledku nedostatočnej ústnej hygieny, vzniká zápal. Akútny zápal ďasien vymizne do 10 až 14 dní. Chronický zápal ďasien má dlhodobý priebeh.
Ak sa zápal ďasien nelieči, vyvinie sa z neho závažnejší zdravotný problém - parodontitída (hovorovo paradentóza). Nahromadený zubný povlak časom tvrdne a tvorí sa z neho zubný kameň, ktorý naďalej dráždi ďasná - zápal pretrváva a dochádza aj k ústupu ďasien od zubov. Ustupujúce ďasná vytvárajú „vrecká“ medzi zubami a ďasnami, v ktorých sa hromadí ďalší zubný kameň. Vzniká tak parodontitída - ochorenie, pri ktorom dochádza k rozpadu ďasien a kostí, ktoré sú zodpovedné za stabilitu zubov. Ide o nevratné následky. Príznakom parodontitídy je kývavosť zubov, čo môže viesť až k strate zubov.

Kľúče k zdravým ďasnám: Hygiena a prevencia
Hlavným kľúčom k zdravým ďasnám je dostatočná a správna ústna hygiena. Odporúča sa umývanie zubov dvakrát do dňa. Používajte zubnú kefku s mäkkými štetinami a uistite sa, že na ňu pri čistení zubov veľmi netlačíte. Dôležité je aj čistenie medzizubných priestorov - napríklad pomocou zubnej nite alebo medzizubných kefiek.
Používajte ústnu vodu - pomáha odstrániť zvyšky baktérií, ktoré zubná kefka alebo zubná niť nezachytili. Niektoré ústne vody sa dajú používať dlhodobo (preventívne), iné len počas určitej doby - na liečbu akútneho zápalu ďasien (vždy si preto prečítajte pokyny a návod na používanie).
Používajte vhodnú zubnú pastu - môžete zvoliť napríklad zubné pasty, ktoré sú určené na riešenie problémov s ďasnami. Tieto zubné pasty obsahujú výťažky z bylín, adstringentné (sťahujúce) a protizápalové zložky a fluoridy.
Nefajčite.
Prírodné riešenia pre krvácajúce a zapálené ďasná
Opuchnuté ďasná sú častým problémom, ktorý môže spôsobiť značné nepohodlie a zhoršiť kvalitu života. Bolesť, začervenanie a citlivosť v ústach ovplyvňujú nielen schopnosť jesť a hovoriť, ale aj celkový pocit pohody. Našťastie existuje mnoho tradičných metód, ako si s týmto problémom poradiť.
Jednou z najčastejšie odporúčaných metód je použitie slanej vody. Slaná voda je známa svojimi antiseptickými vlastnosťami, ktoré môžu pomôcť zmierniť zápal a bolesť. Tento jednoduchý postup je účinný a ľahko aplikovateľný. Stačí rozpustiť lyžičku soli v pohári teplej vody a touto zmesou niekoľkokrát denne vyplachovať ústa. Slaná voda nielenže znižuje opuchy, ale tiež pomáha odstrániť baktérie, ktoré sa hromadia v ústach a môžu prispievať k ďalšiemu šíreniu zápalu. Tento postup je ideálny ako prvá pomoc pri náhlom zhoršení stavu, ale tiež ako doplnok pravidelnej ústnej hygieny.
Ďalšou osvedčenou babskou radou na opuchnuté ďasná je použitie harmančekového čaju. Harmanček je známy pre svoje protizápalové a upokojujúce účinky, ktoré môžu priniesť okamžitú úľavu od bolesti. Pripravte si silný harmančekový čaj, nechajte ho vychladnúť a potom ho použite na vyplachovanie úst alebo aplikujte obklad na postihnutú oblasť.
Pre zvýšenie účinku harmančekového čaju môžete pridať trochu medu, ktorý má tiež antibakteriálne vlastnosti. Med pomáha vytvárať ochranný film na ďasnách, ktorý podporuje hojenie a chráni pred ďalším poškodením.
Cesnak je ďalším prírodným pomocníkom, ktorý sa často objavuje v babských radách na opuchnuté ďasná. Vďaka svojim antibakteriálnym vlastnostiam môže cesnak pomôcť v boji proti baktériám spôsobujúcim zápal ďasien. Stačí rozdrviť strúčik cesnaku a aplikovať ho na postihnutú oblasť. Cesnak obsahuje allicín, látku s výraznými antibakteriálnymi a protizápalovými účinkami. Napriek tomu, že môže byť jeho priama aplikácia na ďasná trochu nepríjemná, je to veľmi účinný spôsob, ako rýchlo znížiť opuchy a zmierniť bolesť.
Aloe vera je ďalšia prírodná surovina, ktorá sa teší veľkej obľube pri riešení problémov s ďasnami. Gél z tejto rastliny má upokojujúce a hojivé vlastnosti, ktoré môžu výrazne zmierniť bolesť a opuchy. Stačí naniesť tenkú vrstvu gélu priamo na postihnutú oblasť a nechať pôsobiť. Aloe vera je ideálna pre ľudí s citlivými ďasnami, pretože jej jemné pôsobenie je zároveň veľmi účinné. Gél tiež podporuje regeneráciu tkanív a pomáha predchádzať ďalšiemu poškodeniu.
Ahojte na afty, či bolave a poranené ďasienka, je skvelý sprej prvej pomoci, obsahuje aloe a bylinky, neštípe, hojí a má dezinfekčné účinky, dokonca aj zubná pasta z aloe je dobrá na ďasienka, keď sa detičkám prerezávajú zúbky.
Moja 2 ročná má už šiesty deň horúčky, plnú pusinku aftov a zapálené ďasná, krvácajúce ďasná. Nechce nič jesť, spapá monte a 5 lyžičiek polievky a to je všetko. Máme antibiotiká, probiotiká, calgel, florsalmin sprej, cebion 2x multi, biogaiu. Chytilo to už aj mňa.
My sme skončili nakoniec v nemocnici, aj keď sme boli u našej doktorky v pondelok a dala antibiotiká, potom v stredu, lebo sa objavili krvácajúce ďasná a dala florsalmin, calgen a cebion2x multi (chýbajúce vitamíny B a C, hlavne to B), nijako sa to nezlepšovalo a v piatok sme boli v nemocnici až do pondelku. Mala dve infúzie a dostala tabletky Herpesin400. Určite choď doktorke a nech vám na to niečo dá, nielen potieratká a spreje. Nebola som z tej nemocnice nadšená, ale pomohla nám. Doma by sa z toho ťažko dostala. Nech jej doktorka zoberie odbery a nech vám dá aj nejaké lieky. Držím palčeky!
Ďalším skvelým pomocníkom v boji proti zapáleným ďasnám je aloe vera, ktoré sa nachádza aj v čiernej bieliacej zubnej paste :bamboo carbon & aloe. Aloe vera má silné regeneračné účinky a je perfektnou formou prevencie pre krvácajúce ďasná. Ak máte aloe vera doma, tak si z obrezaného listu vytlačte gél, ktorý si pravidelne nanášajte na postihnuté miesto.
Zubná pasta pre citlivé zuby a ďasná 100ml hojí a posilňuje krvácajúce a bolestivé ďasná vďaka upokojujúcemu pôsobeniu prírodného vitamínu K, vitamínu C, výťažku z Aloe Vera a carboxymethylchitosanu.
Pepermint a mentol osviežuje dych. Výrobok neobsahuje fluór, sacharín ani syntetické farbivá, na jeho výrobu boli použité suroviny čisto prírodného pôvodu. Pravidelným čistením zubov pomocou tejto zubnej pasty s jedinečnou skladbou prírodných látok zamedzíte tvorbu zubných kazov, ochorenie ďasien, tvorbe zubného povlaku a docielite zdravý, prirodzene biely chrup.
Účinnou zložkou je okrem iného aj Carboxymethylchitosan, klinické štúdie potvrdili jeho pozitívne účinky v prevencii ochorení ďasien, neutralizuje pH v dutine ústnej. Štúdie rovnako preukázali, že Carboxymethylchitosan pôsobí po dobu niekoľko hodín, čo výrazne znižuje riziko vzniku zubného kazu.
Základné zložky a ich účinky:
- Aloe Vera - upokojujúci účinok
- Breza, lopúch, ratan, hluchavka - sťahujúci účinok prospešný ďasnám
- Vitamín K - pre silné a zdravé zuby
- Vitamín C - pre zdravé ďasná
- Tea tree - prirodzené antiseptikum
- Kremeň - prirodzene bieli zuby
- Pepermit a mentol - prirodzená chuť a chladivý účinok
- Carboxylmethylcitosan - ochrana zubnej skloviny
SOS SPRAY PRVEJ POMOCI, ktorý je prírodný, nedráždi, neštípe a navyše chladí, pomohol mnohým s problémami ďasien počas tehotenstva, kedy starostlivosť o ústnu hygienu môže byť náročnejšia a často sa objavuje krvácanie ďasien.

Kedy vyhľadať lekársku pomoc
Babské rady na opuchnuté ďasná môžu poskytnúť úľavu a sú skvelým doplnkom k pravidelnej ústnej hygiene. Nezabúdajte však, že prevencia je vždy lepšia ako liečba, a preto dbajte na správnu starostlivosť o svoje ďasná a neváhajte vyhľadať odbornú pomoc, ak sa vaše ťažkosti nezlepšujú. Problémy s ďasnami môžu niekedy signalizovať vážnejšie ochorenia, ako je parodontitída, ktorá vyžaduje špecializovanú liečbu. Zdravé ďasná sú kľúčom k celkovému zdraviu ústnej dutiny, a preto by starostlivosť o ne mala byť prioritou pre každého.
Ako správne čistiť medzizubné priestory U.S.Center Trenčín
tags: #aloe #sprej #na #krvacajuce #dasna
